
20. října 2013
Obsah dílu
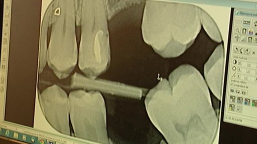
Kauza MUS — Privatizace v Česku — Volební model pro ČT — Stupňování volebních kampaní — Požáry v Austrálii — Podezřelé výkony zubních lékařů — Předdůchody — Prezident Zeman na Ukrajině — Moderní otroctví — Regulace v hazardu — Izrael - velmoc nositelů Nobelových cen — Czech Press Photo — Tým na identifikaci obětí — Ruská letadla nad Českem — Nabídky na pomoc v exekuci — Opravy silnic brzdí papírování — Logo Vím, co jím — Volební téma: školství — Jazyk volebních kampaní — Přpravy na Dušičky — Česká pošta a poplatky za odpad — 200. výročí bitvy národů
Části dílu























Přehled dílů

16. března
Headlines — USA chtějí zapojení spojenců v Hormuzském průlivu — Trump chce pomoc dalších zemí s ochranou Hormuzského průlivu — Země EU o Perském zálivu — Rostoucí ceny paliv a kontroly marží — Prezident neplánuje vetovat návrh státního rozpočtu — Jednání ministrů s hejtmany — Izrael vyšetřuje střelbu na Západním břehu — Přípravy summitu mezi Trumpem a Si Ťin-pchingem — Kontaminovaná voda v Holubicích u Prahy — Začíná nová stavební sezona — Ceny Magnesia Litera oznámily nominace — Příprava zákona o financování neziskových organizací — Vyšetřování tzv. bitcoinové kauzy — Zájem o koupi ukrajinských obranných dronů — Stavba kruhového objezdu v Náchodě — Soud odročil kauzu Dominika Feriho — Oscarový úspěch dokumentu s českou produkcí — Český úspěch na Oscarech — Reakce na dokument Pan Nikdo proti Putinovi — Další oceněné snímky — Návrh změn u spotřebitelských úvěrů — Policie vyšetřuje kameny na trati mezi Pardubicemi a Kostěnicemi — Transplantace menisků i křížového vazu — Blíží se konec vegetačního klidu — Komunální volby ve Francii — Většina íránských fotbalistek si emigraci rozmyslela — Projekt nové vstupní brány do Teplických skal — Zákaz kanabinoidu HHC — Další propouštění v ostravské Nové Huti — Jednání parlamentních delegací ČR a Slovenska — Detailní 3D modely mravenců

16. března
Znakový jazyk a skryté titulky
Znakový jazyk a skryté titulky

15. března
Headlines — 16. den války — Americké a izraelské útoky na Írán — Dopady války — Tresty pro mladistvé násilníky — Zprovoznění ropovodu Družba — Živé záběry ze zásahů hasičů — Vzpomínka na události roku 1939 — Demonstrace před volbami v Maďarsku — Rezervování plynu — Filmové ceny Český lev — Letošní rozpočet — Plány nových dopravních staveb — Systém penzijního spoření — Sortiment na tržnicích v r. 1991 — Nehoda na Matějské pouti — Rozdílné počasí napříč republikou — Světový den spotřebitelských práv — Výrobky s právem na opravu — Výroba chybějících součástek — Komunální volby ve Francii — Tání rakouských alpských ledovců — Stavba obchvatu Náchoda — Demonstrace za uzavření útulku Bouchalka — Úrazy při jarních pracích kolem domu a zahrady — Digitální tachografy v dodávkách — Poklad z doby bronzové — Úklid chodníků po zimě — Končí zimní paralympijské hry — Odkaz nakladatelské rodiny Laichterů

15. března
Znakový jazyk a skryté titulky
Znakový jazyk a skryté titulky

14. března
Headlines — Údery na Blízkém východě — Dva týdny války na Blízkém východě — Boje mezi Izraelem a Libanonem — Antisemitské útoky — Podhodnocené hospodaření — Rekordní investice samospráv — Hospodaření samospráv — Silný vítr v části Česka — Protiruské sankce EU — Filmové ceny Český lev — Německé plány na snižování emisí — Jaké by měly být pravomoci prezidenta? — Prahou po stopách Nicholase Wintona — Nebezpečná jízda v Praze — Tragické nehody cyklistů — Armáda nabírá nováčky — Počet nových vojáků — Nový výstroj českých vojáků — 35 let od návštěvy Václava Havla v Bratislavě — Násilnosti na Kubě — Spor o Severní teritoria — Začínají farmářské trhy — Unikátní stěhování památky — Nová sezona na hradech a zámcích — 50 let od zatýkaní členů českého undergroundu

14. března
Znakový jazyk a skryté titulky
Znakový jazyk a skryté titulky

13. března
Headlines — Vzdušné údery proti Íránu — Spojené státy zesilují útoky na Írán — Uvolnění sankcí na ruskou ropu — Vývoz ropy přes Hormuzský průliv — Cena ropy Brent — Zdražení nafty — Změny v podpoře bydlení — Objem poskytnutých hypoték — Peníze z programu SAFE — Kárná žaloba v souvislosti s bitcoinovou kauzou — Ochrana materiálu pomocí dronů — Zdravotní péče o vězně — Festival popkultury Comic-Con — Sankce EU proti Rusku — Rušení sankcí — Motorkáři na silnicích — Zásoby vajec v obchodech — Tresty za odmítnutí testu na alkohol a drogy — Tolerance alkoholu za volantem — Zájem o kurzy bezpečné jízdy — Prezident navštívil české vojáky v Litvě — Rozhovory USA–Kuba — Nebezpečné nákazy od klíšťat — Peníze na provoz domů pro seniory — Karel Havlíček na cestě po USA — Historie hradu Loket — Vládní slib sdílené dálniční známky — Mimosoudní spotřebitelské spory — První zlato po čtyřiadvaceti letech na zimní paralympiádě — Vaření a pečení jako terapie i pomoc — Svatební košile

12. března
Headlines — Válka na Blízkém východě — Válka na Blízkém východě — Pokračují boje na Blízkém východě — Izraelská operace v Libanonu — Izraelský útok na Bejrút — Vývoj cen pohonných hmot — Národní rozpočtová rada o obraně — Prezident v Litvě — Střelba v Michiganu — Vývoj v českém průmyslu — Stavební produkce v Česku — Útraty v obchodech — Rozdělení kauzy Čapí hnízdo do dvou líčení — Zpožděný odvoz povodňového odpadu — Prodej Národního domu na Vinohradech — Skladatel Vladimír Cosma v Praze — Debata o zrušení korespondenční volby — Tresty za teror v Moskvě — Konec repatriací z Blízkého východu — Suchý únor a březen — Jak zastavit šíření TBC — Onemocnění plic — Screening plic — Předvolební kampaň v Maďarsku — Nové zbraně KLDR — Kácení pod elektrickým vedením — Přesun železničního mostu — Zákaz autům z Číny — Obvinění opilého řidiče kamionu — Obnova po těžbě — Odstřel důlní věže — Czech Grand Design — Rozkvetlé Údolí smrti

11. března
Headlines — Rozpočet na letošní rok — Sněmovna o rozpočtu na letošní rok — Návrh státního rozpočtu na r. 2026 — Rezignace poslankyně Šichtařové — Boje na Blízkém východě — Americko-izraleské údery v Íránu — Příběh íránských fotbalistek — Návrh na zvýšení rodičovského příspěvku — Podezření na špatné zacházení se zvířaty — Evakuace kvůli nálezu pumy v Drážďanech — Zahájení filmového festivalu Jeden svět — Výročí jaderné katastrofy ve Fukušimě — Nejvyšší soud o smrti novorozence — Forbes a Musk a Strnad — Přetížené kamiony z Rumunska — Ceny pohonných hmot — Odkud se do ČR dováží ropa — Německo o zbrojení — Ukrajinská pomoc na Blízkém východě — Předsedkyně EK o palivech z Ruska a povolenkách — Vyšetřování úniku plynu v Praze — Soud kvůli spadlé omítce — Schvalování letů prezidenta — Výzkum o černém kašli — Výzkum masakru z doby železné — Nesprávná likvidace azbestu v unhošťské škole — Likvidace drůbeže v ohnisku ptačí chřipky — Sběr medvědího česneku — Czech Grand Design — Nejlepší designérka

10. března
Headlines — Válka s Íránem — Intenzivní údery na Írán — Útoky na Írán a rostoucí ceny ropy — Realitní trh v Dubaji — Průjezdy tankerů s LNG — Vývoj na trzích — Dražší ropa a růst inflace — Konec ředitele KRNAP — Požár v Otrokovicích — Ústavní soud o právech dětí — Protidronová obrana — Letní sezona hudebních festivalů — Registrace organizací se zahraničními vazbami — Výsledky Škody Auto — Požár plynového potrubí — Jarní opravy výmolů na silnicích — Mýty o alkoholu — Co dělá alkohol v těle člověka — Chybí kapacity pro léčbu alkoholiků — Markéta Šichtařová se vzdala mandátu — Martin Durčák končí v ČEPS — Andrej Babiš na návštěvě Německa — Kauza společnosti Cryfin — Útok na Slovjansk — Dokumenty k programu Nová zelená úsporám — Kroje ve sněmovně — Návrat jádra do světové energetiky — Vzpomínka na transport Romů a Sintů do Osvětimi — Přesun stíhaček z Čáslavi — Hackerský útok na Slavia pojišťovnu — Parkování se zarkytými registračními značkami — Oprava stadionu v Plzni — Nová ohniska ptačí chřipky — Kolečka první pomoci na ochranu uměleckých děl — Nové vyhlídkové molo



