24. června 2023
Obsah dílu
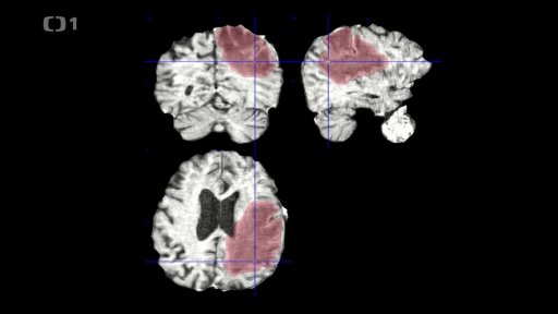
Dva roky od tornáda — O vědě a vědcích: Umělá inteligence v onkologii — Baťovský mural — Tři minuty z Drnovic — Nová kašna — iReportéři — Bez komentáře: Obce dva roky po tornádu
Části dílu








Přehled dílů

1. listopadu
Vysokorychlostní trať — 28. říjen očima historika a vojenské psycholožky — Tři minuty z: Loučka — Klubová scéna na rozcestí — Výročí spartakiády — Strážnické brány — iReportéři soutěž — Bez komentáře: Nekonečný příběh v Polárce

25. října
Stavební změny — Wintonovy děti — Tři minuty z Lužice — Paměťová stopa: Sylva Knedlová — iReportéři soutěž — Bez komentáře: Balet Kafka

18. října
Kam s ním? — Rozhovor: Za Lužánkami s Karlem Jarůškem — Tři minuty z: Polešovice — Sběr ořechů — Podpora brněnskému disentu — 34 let sporu o mobiliář — iReportéři soutěž — Bez komentáře: Moravský podzim

11. října
Volby pro mladé — Paměťová stopa: Ludmila Nekužová — Mezinárodní strojírenský veletrh 66 — Očkování v lékárně — Památný den sokolstva — Tři minuty z Cetkovic — iReportéři soutěž

4. října
Týden sociálních služeb — Příběh dědečka a vnuka — Třicet let poté: Cizojazyčné nápisy ve Znojmě — Došková střecha — Zazimování zahrad — iReportéři soutěž — Bez komentáře: Vaření povidel

27. září
Vandalové — Paměťová stopa: Jarmila Janlů — Rozhovor: S etnoložkou o školním odívání — Zikmundova vila slaví 90 — Tři minuty z: Malá Roudka - Skočova Lhota — iReportéři soutěž

20. září
Žhářova lítost — Model nádraží — Nafta v potoce — Zásah — Záchrana — Expanze — Tři minuty z Roštína — iReportéři soutěž

13. září
Nové koleje — Třicet let poté Březejc — Úroda — Paměťová stopa: Milada Kuttelwascherová — iReportéři soutěž — Bez komentáře: Krása první republiky

6. září
První školní den — Vyhořelý dům — Senatorium Pálava před dokončením — 80 let státní bezpečnosti — Tři minuty z: Ledce — iReportéři soutěž — Bez komentáře: Tisk volebních lístků

30. srpna
Blokáda — Dárce rekordman — Bakterie z Antarktidy — Tři minuty z Přísnotic — Drony ve vinohradu — Nové Mlýny jako terapie — iReportéři soutěž — Bez komentáře: Broušení kolejí



